A healthy 10-year-old male presents for evaluation with a 3-year history of an asymptomatic and progressive, mildly pruritic rash over his head and trunk. The first lesion appeared on his back 3 years ago, and numerous other lesions developed insidiously afterward. The patient’s father states that the lesions fade during the winter and become more prominent during the summer. Failed treatment included hydrocortisone. What's the diagnosis?
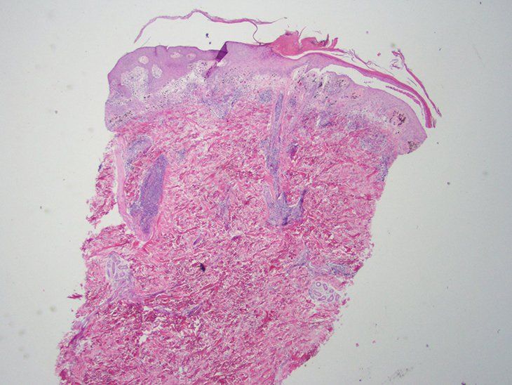
Figure 1

Figure 2

Differential diagnosis

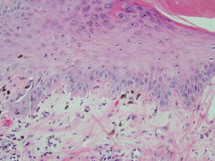
Figure 3

Figure 4

The case
A healthy 10-year-old male presents for evaluation with a 3-year history of an asymptomatic and progressive, mildly pruritic rash over his head and trunk. The first lesion appeared on his back 3 years ago, and numerous other lesions developed insidiously afterward. The patient’s father states that the lesions fade during the winter and become more prominent during the summer. Failed treatment included hydrocortisone.
Physical exam revealed well-circumscribed, annular, erythematous plaques with adherent scale and atrophy on the patient’s right forehead, cheeks, bilateral medial canthi, bilateral conchal bowls, and back (Figures 1 and 2). The rest of the physical exam was unremarkable. There was no recent travel, and the patient did not take any medications. There was no evidence of uveitis or arthritis.
Differential diagnosis
The initial differential diagnosis was broad given the nonspecific clinical presentation without significant symptoms (Table). Whereas granulomatous diseases such as granuloma annulare or sarcoidosis can present as infiltrated annular plaques, they generally lack the scale that is associated with disseminated cutaneous discoid lupus erythematosus (DLE). Lichen planus often has a shiny, violaceous hue, and hydroa vacciniforme often presents as small vesicles that heal with scarred, crusted erosions. Fungal acid-fast bacilli (AFB)and bacterial cultures help to eliminate any infectious etiologies. Biopsy helped to rule in or exclude possible neoplastic processes including cutaneous B-cell lymphoma (CBCL) or lymphomatoid papulosis (LYP). Such neoplasms require clinic-pathologic confirmation.
Evaluation and testing
Punch biopsy from the patient’s back revealed prominent vacuolar change at the dermal-epidermal junction with hydropic degeneration of basal keratinocytes and numerous melanophages within the papillary dermis (Figures 3 and 4). Alcian blue staining revealed increased dermal mucin.
Blood work was unrevealing: C-reactive protein (CRP), 0.3; erythrocyte sedimentation rate (ESR), 11; complete blood count (CBC), normal; comprehensive metabolic panel (CMP), normal; antinuclear antibodies (ANA), negative; anti-double stranded DNA (anti-dsDNA), <1; anti-Ro/La, 0.2/<0.2; serum C3, 131; serum C4, 23; urinalysis, within normal limits (WNL).
Diagnosis
Given the clinical and histologic findings, this patient was diagnosed with DLE as more than one body segment was involved. Shortly after the labs returned, the patient’s mother revealed that she was recently diagnosed with lupus erythematosus (LE). This patient did not fulfill the American College of Rheumatology criteria for systemic lupus erythematosus (SLE) given the absence of laboratory abnormalities and systemic symptoms.
Discussion
The exact cause of DLE in this patient, as in most DLE patients, is unclear. There is a family history of LE, and pediatric DLE is more commonly associated with a genetic predisposition than in adult DLE. Sampaio and colleagues found that 11.8% of pediatric DLE patients had a family history of LE compared with 1% to 4.4% of adults.1 Several triggers can unmask native LE such as ultraviolet radiation exposure and tumor necrosis factor (TNF)-alpha antagonists. Although this patient has not used any medications, he is an active young boy who spends a great deal of time in the sun and is clearly photosensitive per his father.
Pediatric DLE is rare condition predominantly affecting females. The clinical morphology and distribution are very similar to “classic” patterns seen in adults. The face and scalp are very common locations; scaling, hypertrophy, and follicular plugging with atrophy are frequent.2 Less than 3% of patients develop DLE before age 10 years.1,3 The risk of progression to SLE over time frame is approximately 25%.4,5 In one study, the risk to progression was greatest within the first year following a diagnosis of DLE.5
There is general consensus between North American Dermatology and Rheumatology clinics that initial screening labs after diagnosis of DLE should include: CBCs with differential, urinalysis, complement levels, ESR, ANA, hepatic function tests, renal function/electrolytes, anti-dsDNA antibodies, as well as anti-Ro/SSA, anti-La/SSB, anti-Sm, and anti-RNP.4
Compared with adults, pediatric DLE more commonly precedes SLE. Additionally, pediatric SLE is associated with a higher proportion of end-organ damage and is more frequently life threatening compared with the adult counterpart.6 All patients should be screened regularly through their entire lifetime given concern for progression to SLE.
Patient outcome
Sunscreen as photoprotection and topical corticosteroids were prescribed for this patient. Treatment with hydroxychloroquine is planned as the first-line systemic therapy. This medication would be cardioprotective, treat the cutaneous disease, reduce the likelihood of flares, and decrease autoantibody creation.7 Screening for hydroxychloroquine retinopathy should be done at baseline and then annually after 5 years of use in the majority of pediatric patients.8
1. Sampaio MC, de Oliveire ZN, Machado MC, dos Reis VM, Vilela MA. Discoid lupus erythematosus in children-a retrospective study of 34 patients. Pediatr Dermatol. 2008;25(2): 163-167.
2. Magaña M, Vasquez R. Discoid lupus erythematosus in childhood. Pediatr Dermatol. 2000;17(3): 241-242.
3. Moises-Alfaro C, Berron-Pórez R, Carrasco-Daza D, Gutiérrez-Castrellón P, Ruiz-Maldonado R. Discoid lupus erythematosus in children: clinical, histopathologic, and follow-up features in 27 cases. Pediatr Dermatol. 2003; 20(2): 103-107.
4. Arkin LM, Buhr K, Brandling-Bennet H, et al. Practice-based differences in paediatric discoid lupus erythematosus. Br J Dermatol. 2019; 181(4): 805-810.
5. Arkin LM, Ansell L, Rademaker A, et al. The natural history of pediatric-onset discoid lupus erythematosus. J Am Acad Dermatol. 2015;72(4): 628-633.
6. Tucker LB, Uribe AG, Fernández M, et al. Adolescent onset of lupus results in more aggressive disease and worse outcomes: results of a nested matched case-control study within LUMINA, a multiethnic US cohort (LUMINA LVII). Lupus. 2008; 17(4): 314-322.
7. Thakral A, Klein-Gitelman MS. An update on treatment and management of pediatric systemic lupus erythematosus. Rheumatol Ther. 2016;3(2): 209-219.
8. Marmor MR, Kellner U, Lai TY, Melles RB, Mieler WF, American Academy of Ophthalmology. Recommendations on screening for chloroquine and hydroxychloroquine retinopathy (2016 revision). Opthalmology. 2016; 123(6):1386-1394.
Access practical, evidence-based guidance to support better care for our youngest patients. Join our email list for the latest clinical updates.