Parainfluenza virus is the most common cause of croup, while bronchiolitis is usually caused by respiratory syncytial virus. Read about diagnosis and treatment of these conditions.
While the grip of winter this year has been loosened in some locales, in others the fist is tight and will bring its annual upsurge of young patients who have croup or bronchiolitis. Croup targets the upper respiratory tract; bronchiolitis threatens the small and medium lower respiratory tract passages. Both illnesses are associated with significant morbidity and mortality in high-risk patients.
This article provides an update on the diagnosis and treatment of these 2 common pediatric diseases.
Croup
Croup, or acute laryngotracheobronchitis, is the most common infectious cause of sudden upper airway obstruction in children and of stridor in febrile children.1-3 Croup accounts for more than 15% of pediatric respiratory illnesses.4 Children aged 6 months to 6 years--especially boys--are affected most often: the peak incidence occurs during the second year of life. About 2% of all preschoolers have croup every year, and recurrence is common. Croup can develop at any time of the year, although it classically presents in late autumn and winter.
Although croup can be caused by bacteria (eg, Staphylococcus aureus, Haemophilus influenzae, Corynebacterium diphtheriae, and Mycoplasma pneumoniae) and atypical agents, most cases are viral. (This article will address viral croup only.) The leading cause of croup, isolated from more than 80% of positive cultures, is parainfluenza virus (types 1, 2, and 3).4 Other viruses that can cause croup include adenovirus, influenza A and B viruses, respiratory syncytial virus (RSV), and rubeola virus.4
The time and manner in which the child presents may yield general clues to the cause of the viral croup. For example, parainfluenza viruses predominate in the fall, whereas RSV croup peaks in the midwinter. The most severe illness is caused by influenza A virus infection.4
Pathophysiology
The pediatric airway is inherently predisposed toward obstruction.6 Because a child's airway is proportionally smaller than that of an adult, a given amount of luminal swelling reduces the airway diameter much more dramatically than it does in an adult. In infants, for example, 1 mm of subglottic edema decreases the cross-sectional area of the trachea by 50%.1 The narrowest portion of the pediatric airway is the subglottic region at the cricoid cartilage.
As with most respiratory infections, acute laryngotracheobronchitis begins in the nasopharynx and spreads through the respiratory tree. Diffuse inflammation, erythema, and edema develop in the tracheal walls and are most prominent in the subglottic region at the cricoid cartilage. Any swelling (mucosal and/or submucosal) in the region of the subglottic trachea encroaches on the airway, greatly restricting airflow and causing inspiratory stridor. The vocal cords become edematous and relatively immobile.
Clinical presentation
Croup typically starts with several days of nonspecific upper respiratory tract symptoms, such as rhinorrhea, pharyngitis, low-grade fever (temperature of 38ºC to 39ºC [100.4ºF to 102.2ºF]), and cough. Within 12 to 48 hours, the cough is harsh and barky (seal-like) and is accompanied by inspiratory stridor and hoarseness. A temperature that exceeds 40ºC (104ºF) and a toxic appearance are atypical and may indicate tracheitis or epiglottitis.
The great majority of children have mild symptoms, which tend to worsen at night and when the child becomes agitated. Symptoms typically peak by the third to fifth day of illness and last for 7 to 10 days. Airway obstruction develops in a small subset of children with croup. Severe hypoxia and death from croup are rare.
Spasmodic croup begins abruptly, generally occurs at night, and has a relatively mild course. The child may have had a previous respiratory tract infection. Between 1% and 5% of children hospitalized with croup require intubation for airway management.
Diagnosis
The diagnosis of croup is clinical: the barking cough is distinctive and easily recognized by parents and clinicians. Nonetheless, it is still important to exclude other potentially life-threatening conditions, such as epiglottitis or foreign body ingestion, that require intervention.

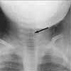
Radiographs of the neck can help confirm the diagnosis of croup and exclude other causes of the croup syndrome. The anteroposterior view may demonstrate subglottic narrowing--the classic "steeple sign" of croup (Figure 1, left). Lateral films may demonstrate an overly distended hypopharynx.
Keep in mind that in approximately 50% of children with croup, the steeple sign is not visible on radiographs (giving a false-negative result). Moreover, subglottic narrowing can be present in children who do not have croup (giving a false-positive result). This suggests that radiographs should be used judiciously in the diagnosis of croup and are best reserved for children with atypical presentations.
Assessing disease severity
Croup scores are a subjective measurement of severity. The most commonly used is the Westley Score.2 Independent risk factors for respiratory failure include:
• Age younger than 6 months.
• Stridor at rest.
• Cyanosis.
• Altered level of consciousness.
• Hypercapnia.
Management
Airway management is the primary goal for children with croup. Hospitalization is indicated if any risk factors are present. Treatment has traditionally included mist therapy and inhaled epinephrine as well as corticosteroids.
Mist therapy. Mist has been widely used and is often the initial treatment before the child arrives in the emergency department (ED). While mist can soothe and moisten an inflamed airway, it can also increase respiratory distress by provoking anxiety and agitation in young children. Recent studies have questioned its efficacy.
Inhaled epinephrine. This is now standard therapy for children with moderate to severe croup. A dose of 0.5 µL of racemic epinephrine is equivalent to 5 µL/L of epinephrine (1:1000). Inhaled epinephrine works quickly and can dramatically reduce inspiratory stridor and retractions. However, as the effects of epinephrine wane – typically over 2 to 4 hours from time of administration – symptoms may begin to escalate and stridor, particularly when the child is at rest, may return. Recent studies suggest that the use of epinephrine does not mandate admission to the hospital and that children can be discharged after 2 to 4 hours of observation in the ED provided a corticosteroid has been administered and there is no return of stridor at rest or increased respiratory distress.
Children can be managed as outpatients if they are clinically stable, have no distress or stridor at rest, are not hypoxic, and have normal mentation. They also must have received a dose of dexamethasone.
Corticosteroids. Favorable efficacy, tolerability, and cost explain why corticosteroids are the treatment of choice, even for children with mild croup. Other benefits provided by corticosteroids include a decrease in croup score and a reduced need for hospitalization. For children who do require hospitalization, corticosteroids shorten the length of stay and reduce the need for admission to the ICU.
The preferred preparations are intramuscular or oral dexamethasone and nebulized budesonide. Intramuscular and oral dexamethasone are similarly effective. The standard dose of dexamethasone is 0.6 mg/kg with a maximum of 10 mg. A single dose is usually given. However, several recent studies suggest that lower doses of 0.15 to 0.3 mg/kg work just as well. At present, however, the accepted dose remains 0.6 mg/kg.
Budesonide is also effective in the treatment of croup. However, because of the expense of nebulized budesonide and its delivery system, this agent is not used to treat patients with croup.
Bronchiolitis
Bronchiolitis is one of the most common and serious viral infections to affect the small and medium airways of the lower respiratory tract in young children.5-7
Almost 85% of all reported cases of bronchiolitis are caused by RSV. However, parainfluenza virus, adenovirus, influenza A virus, and rhinovirus can also be responsible. Bronchiolitis targets young children, particularly those aged 2 to 6 months. Most children are infected by age 3; roughly 10% have clinically diagnosed bronchiolitis during the first year of life. Bronchiolitis is a seasonal illness: the peak incidence occurs in winter and early spring.
Infection is usually mild and self-limited, although cough may linger for weeks. However, bronchiolitis is the most common cause of hospitalization among infants. Furthermore, rates of hospitalization have risen dramatically over the past 2 decades. The associated economic burden is enormous; estimated costs for direct hospital charges alone exceed $3 million annually.
In the United States, 2 of 100,000 infants die of complications related to bronchiolitis. Mortality among infants hospitalized for bronchiolitis is less than 1%; however, this rate escalates to nearly 4% for high-risk infants. Those at greatest risk for severe disease are the very young, the premature, and the chronically ill. These children tend to have small airways and poor ability to clear respiratory secretions, and they are predisposed to apnea.2 Not surprisingly, the emotional distress and anxiety experienced by the family members and caregivers of these children are substantial.
Clinical manifestations
The child with bronchiolitis typically presents with a several-day history of clear, profuse rhinorrhea and congestion. Fever may be present. Over the next 3 to 4 days, cough, tachypnea, wheezing, retractions, and respiratory distress may develop. Poor feeding and decreased appetite can result in dehydration. Secondary otitis media and pneumonia may develop. Infants younger than 3 months are especially prone to apnea, which may be the only sign that the child has RSV infection. Signs and symptoms of bronchiolitis are usually most intense by the fifth day, although children are usually sick for 10 to 14 days.
Diagnosis
Bronchiolitis is a clinical diagnosis. While the cause of infection can be identified by sending a nasopharyngeal swab for viral culture or for a rapid antigen detection test, this does not change clinical management or outcome.

Chest radiographs often reveal airway abnormalities, including peribronchial cuffing, atelectasis, and hyperinflation (Figure 2). However, their value for confirming the diagnosis or deciding on a management strategy remains controversial, since these findings do not distinguish between bronchiolitis and bacterial infection.
Management
Most children with RSV infection experience only mild to moderate symptoms and can be managed at home. Supportive care and careful monitoring for complications are the cornerstones of therapy. Adequate hydration, supplemental oxygen to correct hypoxia, and pulmonary toilet are often sufficient. Hospitalization is indicated for children with any of the following risk factors for severe disease:
• Very young age (increased risk of apnea).
• Significant comorbidities (immunodeficiency, cardiac disease, chronic lung disease).
• Hypoxia and distress.
• Intolerance for oral feeding.
Hospitalization is also prudent for children whose parents may not reliably seek follow-up care.
The American Academy of Pediatrics (AAP) recommends passive immunization and prophylaxis with RSV immunoglobulin and humanized monoclonal antibody (palivizumab) in a select group of high-risk infants. The cost-effectiveness of RSV prophylaxis remains unknown, although it is associated with a reduced rate of hospitalization for respiratory illnesses in high-risk children. Vaccines to prevent RSV infection are now being developed.
Current management controversies
Bronchiolitis management has sparked many controversies, especially concerning the effectiveness of bronchodilators, the role of corticosteroids, and the risk of serious bacterial infection in febrile infants with bronchiolitis.
Bronchodilators. Evidence for the effectiveness of albuterol in children with bronchiolitis is conflicting. A meta-analysis performed by Kellner and colleagues8 showed some benefit, while a meta-analysis by Flores and Horwitz9 showed none. Bronchodilators may not help everyone with bronchiolitis, but a subset of patients--especially those with recurrent wheezing--may benefit. If there is no response after 1 or 2 initial treatments, there is no need to continue albuterol.
Several studies suggest that racemic epinephrine might be better than albuterol when used short-term in children with moderate to severe bronchiolitis. However, recent studies show no significant difference in clinical parameters following epinephrine use versus that of albuterol or placebo. I use racemic epinephrine as a rescue medication for the hospitalized child who is not responding to albuterol.
Corticosteroids. Studies have shown no clear benefit for corticosteroids in the treatment of bronchiolitis. However, a recent meta-analysis suggested a small but statistically significant improvement in clinical symptoms, length of stay, and duration of symptoms in hospitalized patients. Schuh and colleagues10 showed that a large dose of dexamethasone (1 mg/kg) improved clinical symptoms at 4 hours in patients with moderate to severe bronchiolitis and may also decrease hospitalization rates.
A multicenter study to determine the effectiveness of oral dexamethasone and clarify the role of corticosteroids in bronchiolitis was conducted through the federally supported Pediatric Emergency Care Applied Research Network (PECARN).11
This study showed that a single dose of 1 mg/kg of dexamethasone given orally did not significantly change the rate of hospitalization, degree of respiratory distress, or later outcomes.11 Thus, the AAP does not recommend that corticosteroids be used routinely in the management of bronchiolitis.12,13 Ribavirin, antibiotics, antihistamines, and oral decongestants have all been shown to be ineffective treatments for viral bronchiolitis.
Hypertonic saline has the potential to reduce airway edema and mucous plugging. In hospitalized patients, several studies have shown a benefit with nebulized bronchodilator administered with 3% or 5% saline compared with nebulized normal saline. Results of studies in the ambulatory or ED environment, however, have been mixed. Additional studies are in order to determine whether this therapy is truly beneficial.12,14
Infections. What is the risk of serious bacterial infection (bacteremia, urinary tract infection [UTI], or meningitis) in the infant who is younger than 2 months and who has concurrent bronchiolitis? The results of numerous studies suggest that the risk of concomitant UTI remains high in children younger than 2 months who contract bronchiolitis.
Dayan and colleagues15 showed a substantial risk of UTI in febrile infants: this rate was unchanged despite concurrent bronchiolitis. Levine and associates16 showed in a PECARN study that the risk of serious bacterial infection was high in neonates as well as in 29- to 60-day-old infants with concomitant bronchiolitis. Although febrile infants with bronchiolitis may be at lower risk for serious bacterial infection, the rate of serious bacterial infection--and UTI especially--remains significant and warrants evaluation.
References:
1. Rothrock SG, Perkin R. Stridor: a review, update, and current management recommendations. Pediatr Emerg Med Rep. 1996;1:29-40.
2. Gorelick MH, Singh SB. Respiratory emergencies. In: Selbst SM, Cronan K, eds. Pediatric Emergency Medicine Secrets. Philadelphia: Hanley & Belfus; 2001:241-252.
3. Cantor RM, McQuillen KK, Dobiesz VA. Respiratory emergencies. In: Strange GR, ed. Pediatric Emergency Medicine-Just the Facts Self-Assessment & Board Review. New York: McGraw-Hill; 2004:123-127.
4. Malhotra A, Krilov LR. Viral croup. Pediatr Rev. 2001;22:5-12.
5. Linzer JF, Guthrie CG. Managing a winter season risk: bronchiolitis in children. Pediatr Emerg Med Rep. 2003;8:13-24.
6. Coffin SE. Bronchiolitis: in-patient focus. Pediatr Clin North Am. 2005;52:1047-1057.
7. Guerguerian AM, Farrell C, Gauthier M, Lacroix J. Bronchiolitis: what's next? Pediatr Crit Care Med. 2004;5:498-500.
8. Kellner JD, Ohlsson A, Gadomski AM, Wang EE. Efficacy of bronchodilator therapy in bronchiolitis. A meta-analysis. Arch Pediatr Adolesc Med. 1996;150:1166-1172.
9. Flores G, Horwitz RI. Efficacy of beta2-agonists in bronchiolitis: a reappraisal and meta-analysis. Pediatrics. 1997;100(2 pt 1):233-239.
10. Schuh S, Coates AL, Binnie R, et al. Efficacy of oral dexamethasone in outpatients with acute bronchiolitis. J Pediatr. 2002;140:27-32.
11. Corneli HM, Zorc JJ, Mahajan P, et al. A multicenter, randomized, controlled trial of dexamethasone for bronchiolitis. N Engl J Med. 2007;357:331-339.
12. Piedra PA, Stark AR. Bronchiolitis in infants and children: treatment; outcome; and prevention. http://www.uptodate.com/contents/bronchiolitis-in-infants-and-children-treatment-outcome-and-prevention. Accessed February 10, 2012.
13. Hall CB, Hall WJ. AAP Textbook of Pediatric Care. Chapter 243: Bronchiolitis. http://www.pediatriccareonline.org/pco/ub/view/AAP-Textbook-of-Pediatric-Care/394243/all/Chapter_243:_Bronchiolitis. Accessed February 10, 2012.
14. DeNicola LK. Pediatric bronchiolitis treatment and management. http://Emedicine.medscape.com/ article/961963-treatment. Updated June 21, 2011. Accessed February 9, 2012.
15. Dayan PS, Roskind CG, Levine DA, Kuppermann N. Controversies in the management of children with bronchiolitis. Clin Pediatr Emerg Med. 2004;5:41-53.
16. Levine DA, Platt SL, Dayan PS, et al. Risk of serious bacterial infection in young febrile infants with respiratory syncytial virus. Pediatrics. 2004;113:1728-1734.
Access practical, evidence-based guidance to support better care for our youngest patients. Join our email list for the latest clinical updates.