Three-year-old boy limping on right foot after an unwitnessed fall from trampoline the day before. Pain controlled with ibuprofen. No history of chronic diseases or routine medication use.

Figure

Figure
HISTORY
Three-year-old boy limping on right foot after an unwitnessed fall from trampoline the day before. Pain controlled with ibuprofen. No history of chronic diseases or routine medication use.
PHYSICAL EXAMINATION
Swelling and mild tenderness over the dorsum of the right foot and anterolateral ankle. Patient able to bear weight but limps on the right side and refrains from bearing weight on the right foot. No distal neurovascular deficit. Range of motion of foot and ankle reduced because of pain. No signs of external injuries, such as abrasions or bruises. Physical findings otherwise normal.
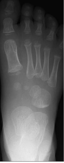
DIAGNOSTIC IMAGING
X-ray films of right foot as shown.
The x-ray films show sclerosis of the proximal cuboid bone (arrows), suggestive of cuboid compression fracture.
A compression fracture does not have a piece of displaced bone or a break in the bone, such as Colles fracture. Cuboid compression fractures are uncommon, and there are limited reports about the condition in children. The fracture was first described by Hermel and Gershon-Cohen1 in 1953; such fractures tend to affect children between ages 1 and 6 years.2 The fracture is a result of a fall from a height. Rarely, the cause may be direct trauma, which is usually associated with other injuries.2-4
A fall from a height produces heel-to-toe compression of the lateral column of the foot either alone or with abduction force at the tarsometatarsal joint. This is called the "nutcracker theory," which describes the compression of the cuboid bone between the calcaneus and the bases of the fourth and fifth metatarsals, when the forefoot is fixed and the weight of the body is transmitted through the foot in plantar flexion.2
A fall while riding a horse can produce a cuboid fracture, usually in association with other midfoot injuries. In this setting, the stirrup acts as a fulcrum and the forefoot is forcefully hyperabducted, trapped between the horse and the ground.3
Patients who have a systemic or genetic condition associated with osteoporosis (such as corticosteroid-dependent asthma or osteogenesis imperfecta) are at increased risk for cuboid compression fracture. These patients may present with foot pain or limping without an obvious history of trauma.
CLINICAL CHARACTERISTICS
Preschool children with a cuboid compression fracture may limp and refrain from bearing weight on the affected foot, especially on the lateral side of the foot. Older children may complain of foot pain at the site of the cuboid bone. Tenderness over the cuboid bone can be elicited or a nutcracker maneuver may be performed. In this test, the calcaneus is stabilized and the forefoot is abducted. This compresses the cuboid bone between the calcaneus and the base of the fourth and fifth metatarsals: if the bone is fractured, the maneuver will cause pain.2,3
RADIOGRAPHIC FINDINGS
Diagnosis is usually made with plain x-ray films, which show sclerosis or cortical irregularity of the proximal or distal cuboid bone.2 A bone scan may be helpful in a symptomatic patient with normal radiographic findings. 5 CT can be used in patients with a history of significant trauma or with suspected multiple foot injuries, such as those associated with a fall from a horse.3 Ultrasonograms show step-like discontinuity of the cuboid bone.6 A sagittal MRI scan may show a marked linear hypointense signal.7 Neither ultrasonography nor MRI is routinely necessary.
TREATMENT
Patients with non displaced cuboid compression fractures need immediate immobilization and a short leg walking cast for 2 to 3 weeks.2 The fracture should be asymptomatic within 4 to 5 weeks with this treatment-as was the case in this patient. Those who are observed-whose foot is not immobilized-take longer (about 7 to 8 weeks) to become symptom-free.
Displaced cuboid compression fractures are best managed surgically with bone grafting. Conservative treatment for such fractures results in poor functional outcome.3
Access practical, evidence-based guidance to support better care for our youngest patients. Join our email list for the latest clinical updates.