A female infant is found to have mild grade one bilateral hydronephrosis and a nearly four centimeter cyst in the pelvis near the bladder
You are seeing a beautiful little girl in the pediatrics clinic for her initial well infant checkup. She is the first child for her parents, and was born full-term via a cesarean section for breech presentation. Her parents are slightly more anxious than most first-time parents, because their child was found to have mild grade-one bilateral hydronephrosis on the last prenatal ultrasound (US), at 28 weeks, prior to her delivery.
Your exam on the infant is completely unremarkable. She is at the 60% percentile for height and weight, she is feeding well, and has several wet diapers and loose stools every day.
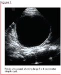
You refer the child to urology for evaluation of her hydronephrosis. The pediatric urologist orders a US, which continues to demonstrate mild bilateral hydronephrosis, improved from her prenatal US. However, a nearly 4-cm cyst is also noted in the pelvis near the bladder. (The antenatal US was done at a small outlying community hospital. The radiologist's report noted the hydronephrosis; there was no comment about a cyst antenatally.)

In a female infant of this age, you know a cystic mass in the pelvis is unusual, but very likely an ovarian cyst. The most common cause of a pelvic mass in a female is an ovarian cyst, but generally speaking, the most common cause of abdominal (including flank) mass would be multicystic dysplastic kidney (MCDK). Smaller ovarian cysts will typically disappear by six to nine months of age. However, you also know that larger ovarian cysts need to be closely followed, as they may not spontaneously involute and even have the risk of acute torsion. Finally, you question if this cyst could be something else, such as a mesenteric cyst, duplication cyst, or giant Meckel's diverticulum, as the radiologist cannot fully see the cyst arising from the adnexa.
For now, because the infant is entirely asymptomatic, you agree with the pediatric urologist and decide on close observation.
It's still there
The child continues to thrive, and serial ultrasounds at three and six months of age demonstrate complete resolution of the bilateral hydronephrosis. The cystic pelvic mass is still seen in the pelvis, and its sonographic appearance has not changed over the three serial ultrasounds. The radiologist still believes this has the characteristics of a benign ovarian cyst, but at this point, both of you request consultation from the pediatric surgeon.
Mom returns to your office several weeks after the surgical consultation, reporting that the pediatric surgeon wants to continue observation of the cyst, and plans intervention only if she develops symptoms or the mass persists beyond one year of age. Over the next few months, you continue to watch the infant grow and develop appropriately. The next ultrasound still reveals no change in the cyst's size.
Suddenly, a change
Mom calls you late one afternoon with some new concerns about her child, now nearly one year old. Apparently, the little girl has been rather fussy this week, which at first the mom attributed to a viral illness because the family had gone to the local county fair the weekend prior. However, mom says that her daughter began having mucousy stools yesterday, and she had a very dark, almost black, stool today. Because your office is closed for the day, you tell the worried mother to take her daughter immediately to the emergency department (ED) for evaluation.
In this child's age group, your first thought is intussusception, because of her bouts of irritability and the dark stool. In your patient, you know intussusception could arise either from the pelvic cyst serving as a lead point, or traditionally at the ileocecal valve from inflamed Peyer's patches.
A second thought you have is that the child has recently been to the county fair, and you have seen two cases of Shigella gastroenteritis in the last month. Because of the dark stool, you also consider a Meckel's diverticulum, but you feel she is too young for this.
Finally, you wonder if the cyst, if indeed it is an ovarian cyst, could have undergone acute torsion. But you are not sure how that could relate to the black stool.
Access practical, evidence-based guidance to support better care for our youngest patients. Join our email list for the latest clinical updates.