A 17-year-old girl being treated for mild acne, anxiety, and depression, presented with an ankle “bruise” related to an injury sustained 2 years earlier. Symptoms resolved with treatment, but the hyperpigmentation persisted.

Figure 1.
A 17-year-old girl with mild acne, anxiety, and depression presented for evaluation of a persistent left ankle “bruise.” The lesion had appeared almost 2 years earlier following an injury. Plain films and MRI obtained at that time were normal; the patient had made 3 orthopedic visits for splinting, with follow-up. Although her symptoms resolved after 6 weeks, the discoloration persisted.
Primary care evaluation at that time revealed a history of menorrhagia and frequent nosebleeds (once weekly for a month) but no other bruising. Findings from the physical examination were remarkable only for a non-tender “ecchymosis” on the left ankle. Results of laboratory tests-including CBC count, coagulation studies, and Von Willebrand factor-were unremarkable. A hematologist curbside consultation recommended no further workup.
The discoloration had not faded 2 months later, when the patient sustained a repeated injury to the left ankle after stumbling. She experienced pain and swelling, and was unable to bear weight. A sprain was diagnosed, and the ankle was splinted. Again, the ecchymosis persisted after the pain and swelling resolved.

Figure 2.
Sixteen months later, the family sought a hematology evaluation for the persistent discoloration. The patient’s current medications were escitalopram (Lexapro), olanzapine (Zyprexa), and minocycline. A comprehensive history confirmed that 2 previous surgeries were not complicated by bleeding problems. Results of an extensive laboratory evaluation were unremarkable (tests was done for factors VIII, XI, and Von Willebrand; fibrinogen; thrombin time; alpha-2 antiplasmin activity; and tissue plasminogen activator antigen). The hematologist assumed that the reinjury was the most likely cause of the bruising and recommended repair of ankle ligaments to decrease laxity.
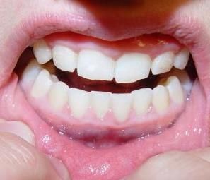
Six months later, our dermatology evaluation verified that the patient had been taking minocycline, 100 mg twice daily for 5 years, missing doses infrequently. The blue-gray discoloration was noted to involve not only the dorsal aspect of her left foot and ankle (Figure 1) but also 2 common sites of trauma-below the left knee (smaller patch in Figure 2) and similar, more subtle discoloration over both shins. Examination of her maxillary/mandibular mucosal sulci revealed similar pigmentation (Figure 3). Note in Figure 1 that extension of discoloration into the interdigital spaces supports an endogenous source of pigment. The patient’s face, back, and chest were free of acne. These characteristic features supported a diagnosis of minocycline hyperpigmentation.

Figure 3.
The patient refused confirmatory skin biopsy. Minocycline was discontinued, with the expectation that the discoloration would spontaneously improve within 1 year.
Discussion
Bluish hyperpigmentation is a well-documented side effect of long-term treatment with minocycline.1 The risk has been estimated at 2.4% to 14.8%; the hyperpigmentation is most often seen during chronic treatment for acne and rosacea, but the problem has also been noted in up to 41% of patients with rheumatoid arthritis who take minocycline for its anti-inflammatory effects.2-4
Hyperpigmentation is most often noted to occur in the skin but may also involve sclera, teeth, and nails.2,3 Median time to pigmentation changes in patients taking 100 to 200 mg/d has been estimated at 12 months, with a range of 3 months to 6 years.2 To minimize the risk, it is optimal to limit long-term therapy to no more than 12 months. The new extended-release formulation is associated with a lower incidence of dose-related adverse events (ie, nausea, vomiting, dizziness). The adverse events related to duration, such as hyperpigmentation, autoimmune hepatitis, and hypersensitivity reactions, are less clearly affected by the extended-release formulation.5
Three patterns of minocycline hyperpigmentation have been described1:
• Type I hyperpigmentation is characterized by a blue-black color that occurs in sites of previous inflammation or scarring, typically within facial acne scars. Biopsy shows iron deposition in the dermis.
• Type II features blue-gray discoloration that affects otherwise normal skin, often on lower extremities. Biopsy specimens exhibit melanin and iron deposits in the deeper dermis and fat.
• Type III is described as diffuse, muddy brown discoloration accentuated in sun-exposed areas reflecting superficial melanin deposition in epidermis or dermis.
The hyperpigmentation in our patient’s case did not fit any of these categories. The most obvious lesion was localized to a previous trauma site, typical for type I, but the blue-gray discoloration suggested deep dermal, fat, or even muscle pigment deposition, rather than the characteristic cutaneous scar. Our patient also had gingival margin hyperpigmentation. This is possibly the most common site of involvement, but it can be easily overlooked. Gingival melanin hyperpigmentation is a normal variant in darker-skinned people, but in light-skinned individuals, monitoring for minocycline discoloration at the gingival margin may help detect early changes and avoid progression.
Light microscopy evaluation of a biopsy specimen is the best way to confirm diagnosis and assess for epidermal or dermal involvement, but this is often not necessary to establish the diagnosis.
Initial therapy of minocycline hyperpigmentation involves discontinuing the medication. Localized pigmentation often fades within several months. Diffuse minocycline hyperpigmentation can take years to fade, or it may persist indefinitely.1 In such cases, lesion ablation with Q-switched Alexandrite laser therapy has been used with success.6
Teaching Points
• Bluish hyperpigmentation is a well-documented side effect of long-term treatment with minocycline.
• Hyperpigmentation is most often noted to occur in the skin and gingival margin, but it may also involve sclera, teeth, and nails.
• Biopsy is the best way to confirm diagnosis, but this is often not necessary to establish the diagnosis.
• The condition usually resolves spontaneously within months to years after discontinuing the minocycline.
References:
1. Mouton RW, Jordaan H F, Schneider JW. A new type of minocycline-induces cutaneous hyperpigmentation. Clin Exp Dermatol. 2004;29:8-14.
2. Roberts G, Capell HA. The frequency and distribution of minocycline induced hyperpigmentation in a rheumatoid arthritis population. J Rheumatol. 2006;33:1254-1257.
3. Dwyer C M, Cuddihy AM, Kerr RI, et al. Skin pigmentation due to minocycline treatment of facial dermatoses. Br J Dermatol. 1993;129:158-162.
4. Goulden V, Glass D, Cunliffe WJ. Safety of long-term high-dose minocycline in the treatment of acne. Br J Dermatol. 1996;134:693-695.
5. Maffeis L, Veraldi S. Minocyline in the treatment of acne: latest findings. G Ital Dermatol Venereol. 2010;145:425-429.
6. Alster TS, Gupta SN. Minocycline-induced hyperpigmentation treated with a 755-nm Q-switched Alexandrite Laser. Am Soc Dermatologic Surg. 2004;30:1201-1204.
Access practical, evidence-based guidance to support better care for our youngest patients. Join our email list for the latest clinical updates.