You are asked to evalute a fussy 6-week-old infant with a rash that started on her left axilla 3 weeks ago and spread to the left arm, chest, and abdomen.
The Case

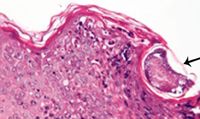
Diagnosis: Scabies
The erythematous papules on this healthy infant were suspicious for scabies. Ectoparasite examination was negative. Herpes viral culture of vesicular fluid was negative.

CLINICAL FINDINGS AND ETIOLOGY
In scabies, the mite Sarcoptes scabiei infests the upper epidermis. Transmission occurs primarily by skin-to-skin contact and occasionally exposure to fomites. There is a resultant erythematous, papulovesicular rash, which may be accompanied by pathognomonic short, wavy, gray, linear mite burrows. Affected areas include axillae, volar wrists, interdigital skin, periumbilical skin, belt line, buttocks, thighs, male genitalia, and female nipple. Infants uniquely may have involvement of the scalp, face, neck, palms, and soles presenting as plaques, pustules, or pinkish-brown nodules.1
Symptoms may be minimal during the first 4 to 6 weeks after exposure. Subsequently, a pruritic, delayed hypersensitivity, eczematous eruption develops that may camouflage the primary scabies' burrows. Reinfested sensitized persons usually become symptomatic within 2 days.2
DIFFERENTIAL DIAGNOSIS
In infants, scabies must be distinguished from dermatitis, urticaria pigmentosa, and papular urticaria.
Access practical, evidence-based guidance to support better care for our youngest patients. Join our email list for the latest clinical updates.