A healthy 15-year-old girl presents for evaluation of itchy, painful bumps on her toes that developed 3 weeks earlier. The bumps become more numerous and bothersome when she is outdoors sledding and skiing. What's the diagnosis?
Figure 1

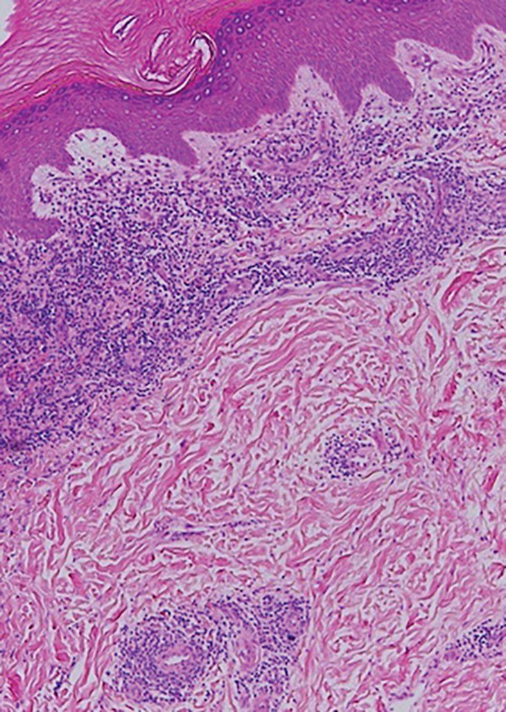
Figure 2

The case
A healthy 15-year-old girl presents for evaluation of itchy, painful bumps on her toes that developed 3 weeks earlier. The bumps become more numerous and bothersome when she is outdoors sledding and skiing.
Diagnosis: Pernio
Discussion
Pernio, or chilblains, is a chronic condition classically presenting as red-to-purple, edematous lesions of variable sizes on acral skin, typically fingers and toes. Lesions are commonly painful and pruritic, and they may progress to blisters and ulcers predisposing to infection. Symptoms result from abnormal vasoconstriction in response to physiologic stress, such as cold temperatures and hypoxemia.
The course may be acute, initiating as quickly as 24 hours following insult and improving within 3 weeks, or chronic, persisting or recurring over weeks to months despite lack of repeated insults.1 One-third of patients show at least 1 laboratory abnormality that may raise concern for underlying hematologic or rheumatologic disease.2-4 Patients with secondary perniosis due to such conditions are more likely to present with chronic symptoms.5
Differential diagnosis and workup
The differential diagnosis for pernio includes leukocytoclastic vasculitis, Henoch-Schonlein Purpura, and hand-foot-mouth disease. Chilblains lupus erythematosus is an uncommon disorder that presents with both the characteristic discoid papules of cutaneous lupus erythematosus as well as the lesions of pernio.6 A complete history that includes recent illnesses, medications, triggers, and other involved organs is vital to the diagnosis of pernio.
Though not required, skin biopsy may be utilized when the diagnosis is unclear. Supporting histopathology shows papillary dermal edema with lymphocytic infiltrate surrounding blood vessels and adnexal structures.7 Laboratory workup includes a complete blood count (CBC) and antinuclear antibody (ANA) titers to rule out underlying hematologic or rheumatologic abnormalities.3
Management
First-line management for pernio involves keeping extremities warm and dry. Medium-to-high potency topical corticosteroids are thought to be beneficial in clinical practice, however, no large, randomized trials have investigated their effectiveness. The vasodilatory calcium channel blocker nifedipine used for 6 weeks may alleviate symptoms, although evidence for its efficacy is conflicting.8-10
Review and examination
Review of systems for this patient included frequent discoloration and loss of sensation in the hands and feet during winter months. She denied foot trauma, lesions elsewhere on her body, recent infection, new medications, abdominal pain, chills, and joint pains.
Examination revealed erythematous-to-violaceous, edematous papules and small plaques on the dorsal feet with greatest density on the toes (Figure 1). Laboratory studies revealed positive ANA (1:320) with speckled pattern and normal CBC, erythrocyte sedimentation rate, C-reactive protein, C3, C4, anti-Smith, anti-double-stranded DNA, anti-Ro, and anti-La antibodies. Biopsy showed mild subepidermal edema with brisk perivascular and periadnexal lymphocytic infiltrate (Figure 2).
Patient outcome
The patient was diagnosed with pernio based on clinical history and biopsy results. Despite her ANA results, she did not meet criteria for any form of lupus erythematosus. She was counseled on keeping her hands and feet dry and wearing insulated gloves and footwear.
Two months later, her symptoms improved with onset of warmer weather. Two years later, despite continued conservative management, her symptoms recurred. Clobetasol ointment twice daily for no more than 2 consecutive weeks was prescribed. The lesions cleared within 6 months.
1. Simon TD, Soep JB, Hollister JR. Pernio in pediatrics. Pediatrics. 2005; 116(3):e472-e475.
2. Lutz V, Cribier B, Lipsker D. Chilblains and antiphospholipid antibodies: report of four cases and review of the literature. Br J Dermatol. 2010; 163(3): 645-646.
3. Viguier M, Pinquier L, Cavalier-balloy B, et al. Clinical and histopathologic features and immunologic variables in patients with severe chilblains. A study of the relationship to lupus erthyromatosus. Medicine (Baltimore). 2001; 80(3): 180-188.
4. Weston WL, Morelli JG. Childhood pernio and cryoproteins. Pediatr Dermatol. 2000; 17(2): 97-99.
5. Tacki Z, Vahaboglu G, Eksioglu H. Epidemiological patterns of perniosis, and its association with systemic disorder. Clin Exp Dermatol. 2012; 37(8): 844-849.
6. Arias-Santiago SA, Girón-Prieto MS, Callejas-Rubio JL, Fernández-Pugnaire MA, Ortego-Centeno N. Lupus pernio or chilblain lupus? Two different entities. Chest. 2009; 136(3):946-947.
7. Boada A, Bielsa I, Fernández-Figueras MT, Ferrándiz C. Perniosis: clinical and histopathological analysis. Am J Dermatopathol. 2010: 32(1): 19-23.
8. Rustin MH, Newton JA, Smith NP, Dowd PM. The treatment of chilblains with nifedpine: the results of a pilot study, a double-blind placebo-controlled randomized study and a long-term open trial. Br J Dermatol. 1989; 120(2): 267-275.
9. Patra AK, Das AL, Ramadasan P. Diltiazem vs. nifedipine in chilblains: a clinical trial. Indian J Dermatol Venereol Leprol. 2003; 69(3): 209-211.
10. Souwer IH, Bor JH, Smits P, Lagro-Janssen AL. Nifedipine vs placebo for treatment of chronic chilblains: a randomized controlled trial. Ann Fam Med. 2016; 14(5): 453-459.
Access practical, evidence-based guidance to support better care for our youngest patients. Join our email list for the latest clinical updates.