A previously healthy 14-year-old girl presented with retrosternal chest pain, odynophagia, and dysphagia of 10 days' duration. Her medical history was unremarkable. Results of an ECG and a chest radiograph were normal. An upper GI series revealed an abnormality at the level of the mid esophagus. She was treated with lansoprazole and sucralfate for a week; however, her symptoms persisted and perhaps worsened slightly. She lost 2.3 kg (5 lb) during her illness and was referred to a pediatric gastroenterologist.
Case 1
A previously healthy 14-year-old girl presented with retrosternal chest pain, odynophagia, and dysphagia of 10 days' duration. Her medical history was unremarkable. Results of an ECG and a chest radiograph were normal. An upper GI series revealed an abnormality at the level of the mid esophagus. She was treated with lansoprazole and sucralfate for a week; however, her symptoms persisted and perhaps worsened slightly. She lost 2.3 kg (5 lb) during her illness and was referred to a pediatric gastroenterologist.
The patient appeared healthy and was in no acute distress. Weight was 40.7 kg (90 lb; above the 5th percentile); height was 166.4 cm (5 ft 5 in; above the 50th percentile). Vital signs were normal for age. Pustules and vesicles were noted on the lips, palate, and buccal mucosa; the patient had no significant lymphadenopathy. Skin examination revealed mild to moderate acne on the face, upper chest, and back. The abdomen was soft and nontender with normo-active bowel sounds and no hepatosplenomegaly. Chest, cardiovascular, and neurological findings and extremities were all unremarkable.
The patient's upper endoscopy findings are shown.
Case 2
A 16-year-old boy presented with acute onset of retrosternal chest pain after awakening from sleep. He had been healthy and had no significant past medical issues. He was treated with ranitidine for possible gastroesophageal reflux; however, the chest pain persisted, and over the next 3 days, odynophagia developed and he had difficulty in swallowing liquids. He lost about 3.5 kg (8 lb) in 4 days and was taken to the pediatric emergency department.
On admission to the hospital, the patient appeared mildly dehydrated and in moderate discomfort. Vital signs were normal for age. Weight was 69 kg (152 lb) and height was 176 cm (5 ft 9 in), both between the 50th and 75th percentiles. He had dry skin and mild to moderate acne on his face, upper chest, and back. He had no reproducible chest pain or pain associated with positioning or exertion. Physical findings were otherwise unremarkable.
Fluids and lansoprazole were started intravenously.The patient's esophagram and upper endoscopy findings are shown
What do the esophageal findings show and what is the likely diagnosis?.
Esophageal ulceration
The esophagram in the second patient showed evidence of mucosal thickening in the lower one-third of the esophagus, suggestive of some edema in the mucosa secondary to esophagitis. The findings of barium esophagography in both patients were consistent with the findings of the upper endoscopy.
Case 1: The endoscopic findings showed 2 adjacent ulcerations (or kissing lesions) 2 cm in diameter in the mid esophagus at the level of the aortic arch narrowing.
Case 2: The endoscopic findings showed a large area (3 5 cm) of ulceration, edema, and inflammation in the lower esophagus.
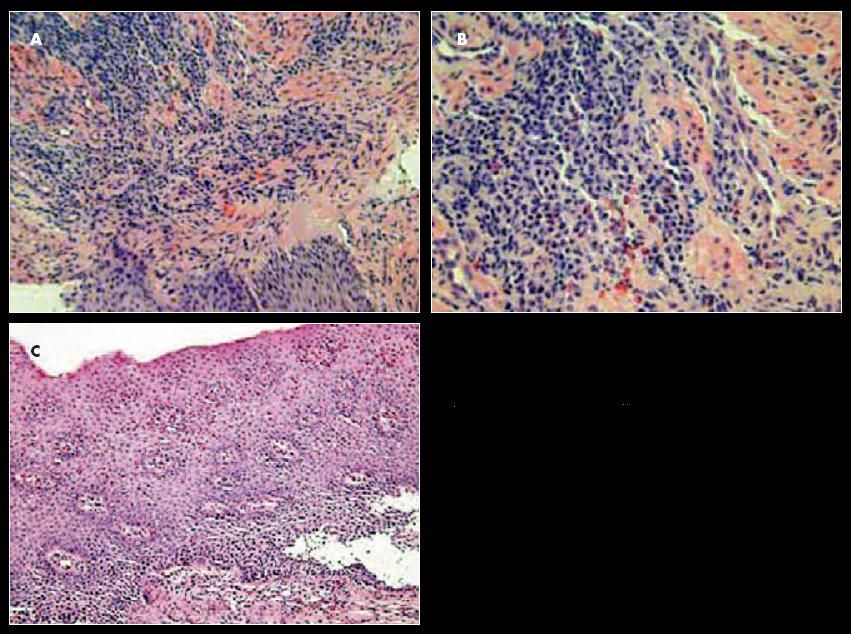
In both patients, biopsies taken during endoscopy revealed heavy infiltrates in the lamina propria of the esophagus that consisted of lymphocytic plasma infiltrate interspersed with eosinophilic infiltrates, consistent with acute focal esophagitis (the histopathological findings in the first patient are shown in the Figure). The overlying squamous epithelium contained a few eosinophils.

Figure

Figure

Figure

Figure - Histopathological slides (low-power, A; high-power, B) from the patient presented in case 1 showed heavy infiltrates in the lamina propria of the esophagus consisting of lymphocytic plasma infiltrate interspersed with eosinophilic infiltrates. Normal esophageal mucosa (C) is shown for comparison.
Outcome: On further questioning, it was learned that both patients had been taking minocycline for acne twice daily for more than 6 months. Both patients drank just a few sips of water after taking the medication. The first patient remembered that 2 to 3 days before the onset of symptoms, she took her medication in the morning on the way to school without drinking or eating anything with it. The second patient recalled taking the medication while in bed, with just a few sips of water. Minocyclineinduced esophagitis was diagnosed in both cases.
DRUG-INDUCED ESOPHAGITIS: AN OVERVIEW
More than 900 cases of pill esophagitis from about 100 different medications have been reported1; however, only a few reported cases have involved children. About 10,000 cases of pill esophagitis occur in the United States each year.2 Since the first case of drug-induced esophageal ulceration secondary to pill ingestion was diagnosed in 1970 (in a patient receiving oral potassium therapy), tetracyclines have become responsible for about 50% of all cases.3 Minocycline-induced esophagitis (first described in 1976 in a patient who was being treated for acne) is less commonly reported, possibly because the drug, for various reasons, is less frequently prescribed than doxycycline or tetracycline, and because pill esophagitis continues to be underdiagnosed.4
The classic picture of tetracycline- or doxycyclineinduced esophageal injury is mid esophageal ulceration caused by the lodgment of pills in the thoracic esophagus at the level of the aortic arch-the second anatomic narrowing of the esophagus.2 Most drug-induced esophagitis ulcerations occur in this area.5,6
Clinical presentation. The hallmark of pill esophagitis is odynophagia with or without dysphagia.1,2 In children and adolescents, the pain is usually retrosternal and constant and can be mistaken for gastroesophageal reflux or a cardiac etiology.7 Patients may describe a foreign-body sensation in their esophagus or they may recall having taken a medication without any fluid. Stomatitis and glossitis have been reported in patients taking minocycline.8 In the acute phase, the inability to swallow can lead to dehydration and weight loss.
Diagnosis. The physical examination is unremarkable in uncomplicated esophagitis. Rectal examination and fecal testing may identify occult blood. Laboratory tests are not helpful in the diagnosis of pill esophagitis. ECG and cardiac enzyme studies may be more helpful in adults than in children and should be performed when cardiac disease is suspected.
An upper GI series is the first-line test in patients with odynophagia or dysphagia as the main presenting symptom. The results usually indicate esophageal injury. These studies may also reveal esophageal obstruction, strictures, or mass effects.
Upper endoscopy with mucosal biopsies is the gold standard for confirming the diagnosis and evaluating the degree of damage. Perform this test in patients who have heme-positive stools, hematemesis, or a suspected esophageal obstruction from a mass or stricture and in patients who are immunocompromised. Endoscopic findings are almost always abnormal in pill esophagitis. Endoscopy is much more sensitive than barium esophagography for the detection of subtle mucosal lesions.2
Treatment. After withdrawal of the offending medications, symptoms usually resolve within a few days or a few weeks.2 Medical treatment includes histamine-2 receptor antagonists (ranitidine, cimetidine), proton pump inhibitors (omeprazole, lansoprazole, esomeprazole, pantoprazole), or GI-coating agents (sucralfate). These agents typically provide symptomatic relief within a few days; however, this may vary depending on the severity of the lesions, patient adherence to the regimen, and the presence of preexisting gastroesophageal reflux. The patients in these 2 cases responded to medical treatment within 2 weeks of their endoscopies. The sucralfate was continued for a total of 4 weeks, and the lansoprazole was continued for a total of 3 months.
Delayed treatment can result in chronic esophagitis, perforation, or stricture formation. Surgery may be necessary in cases of perforation or obstruction. Endoscopic esophageal dilatation might be beneficial in patients with strictures. Patients who continue to take the offending medication can also delay healing and may worsen the existing damage to the esophagus. In one case series, esophageal epithelial defects on endoscopy persisted for several months in a woman who refused to discontinue treatment with alendronate.9
Prevention. Pill esophagitis can be prevented by advising patients to:
Access practical, evidence-based guidance to support better care for our youngest patients. Join our email list for the latest clinical updates.