
A female infant born at 29 weeks' gestation after premature membrane rupture was admitted to the neonatal ICU in respiratory distress.

A female infant born at 29 weeks' gestation after premature membrane rupture was admitted to the neonatal ICU in respiratory distress.

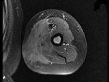
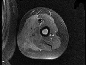
For 3 months, a 9-year-old boy had swelling of the left upper arm. An MRI scan obtained at another facility 1 week after onset showed extensive edema of the soft tissue at the midhumeral level. Laboratory results, including complete blood cell (CBC) count and Lyme titer, were normal.

Published: February 4th 2010 | Updated:

Published: January 11th 2011 | Updated: