This 3 ½-month-old boy was brought to an outlying hospital after 12-hours of fussiness and poor feeding.

A 3 ½-month old boy was brought to an outlying hospital after 12-hours of fussiness and poor feeding. The mother reported that the child had an upper respiratory tract infection a week earlier and had experienced periods of inconsolable crying during the previous day that lasted 10 to 15 minutes. There was no history of diarrhea, vomiting, fever, or trauma.
The prenatal course was unremarkable. The 25-year-old mother, gravida 2, para 1, denied taking any illict drugs or medications other than prenatal vitamins during pregnancy. The baby was born at term and weighed 3.2 kg (25th percentile). The newborn period was complicated by persistent pulmonary circulation, pulmonary hypertension, and mild respiratory distress. The baby required mechanical ventilation and dopamine/dobutamine for 24 hours while in the neonatal intensive care unit. Circumcision was done in the newborn period stay without significant bleeding.
Both parents were in good health. The child’s growth and development was within normal limits according to the primary care doctor’s history. Newborn screening test results were all within normal limits. The child was taking no medication and had been fed with formula since birth. There was no other pertinent medical, social, or social service history.
On physical examination the infant weighed 4.75 kg (third percentile for growth); temperature was 37.1 oC; heart rate was 124 beats per minutes; respiratory rate was 30 breaths per minute; and capillary refill was <3 seconds. The child’s mother reported that he had a weak suck, slept intermittently, and cried inconsolably when awakened. His cranial nerves appeared to be intact; pupils were 4 mm and reactive. There was no bruising on any body surface. There were no other abnormal findings.
Initial laboratory results were as follows: white blood cell count, 18.9/µL; hemoglobin, 7.9 g/dL; hematocrit, 23%; and platelet count, 455/µL. Renal profile was normal; transaminase levels were slightly elevated.
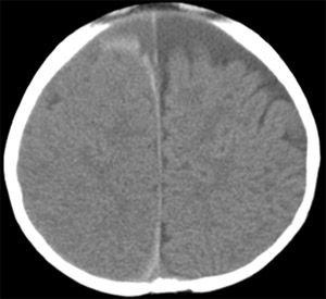
By the time these results were returned, a large hematoma was noted at the site of the blood draw. The infant’s condition was changing rapidly and a CT scan of the head was ordered. The scan revealed a large left parietal intraparenchymal hemorrhage (Figure). Edema was noted and a midline shift, with no herniation.
Following the CT scan the hemoglobin was rechecked and was 6.7 g/dL. Prothrombin time (PT) was >90 seconds (normal, 10.1 to 13.6 seconds); a partial thromboplastin (PTT) time was 181 seconds (normal, 26.4 to 35.9 seconds); and, fibrinogen level was 500 mg/dL (normal 200 to 400 mg/dL).
The infant was transferred to a tertiary care hospital where physical abuse was considered high on the list of differential diagnoses because of the negative trauma history.
Could a medical condition explain this patient’s symptoms - - or do the symptoms point to abuse? Click here for the answer.
Diagnosis: Cystic Fibrosis
On arrival at the tertiary care facility, the PT and PTT were again measured and similar values were obtained. A thrombin time was 13.1 seconds (normal 14.2 to 21.3 seconds). The child was treated with Vitamin K. The PT and PTT corrected rapidly and the child’s condition stabilized without further intervention. Given the rapid change in clinical condition, the child abuse team was not consulted during the initial period of the admission. Hematology was consulted to evaluate the elevated coagulation factors.
The Algorithm reflects the clinical thought process that guided the differential diagnosis.

Factors II, V, and X levels were all within normal limits. Two sweat chloride values obtained on admission both measured >125mEq/L (normal <60 mEq/L).
The social service team was subsequently consulted and found no risk factors for abuse in the family.
A diagnosis of cystic fibrosis (CF) was confirmed, based on the 2 abnormally elevated sweat test values. CF is an inherited multisystem disorder of ion transport typically characterized by exocrine gland dysfunction, obstruction and infection of airways, hepatic dysfunction, and by malabsorption and the associated consequences. Presenting manifestations are numerous, but pulmonary and gastrointestinal complaints usually predominate.
In a study of more than 20,000 CF patients in the United States, acute or persistent respiratory symptoms such as cough, recurrent respiratory infection and bronchitis, failure to thrive, and frequent bulky, greasy stools were the top 3 presenting complaints.1-3 At diagnosis, fewer than than 2% of patients registered with the Cystic Fibrosis Foundation exhibited the fat-soluble vitamin deficiency and coagulopathy found in this child.4 Only 7% of patients with CF experience a mild prolongation of the PT.
Bleeding disorders in patients with CF are rare and literature on the topic is scarce. Without a thorough initial medical investigation, this case might easily have led to a lengthy social service inquiry.
Teaching points
1. Cystic fibrosis can rarely present as a bleeding disorder.
2. Symptomatic bleeding has many causes and must be thoroughly investigated before an abuse diagnosis can be made.
REFERENCES:1. Bergman A, Blessing-Moore J, O’Leary J. An unexpected complication of cystic fibrosis. Chest. 1980;78:802.
2. Carpentieri U, Gustavson L, Haggard M. Misdiagnosis of neglect in a child with bleeding disorder and cystic fibrosis. South Med J. 1978;71:854-855.
3. O’Hare A, Eden O. Bleeding disorders and non-accidental injury. Arch Dis Child. 1984;59:860-864.4. Rashid M, Durie P, Andrew M, et al. Prevalence of vitamin K deficiency in cystic fibrosis. Am K Clin Nutr. 1999;70:378-382.
Access practical, evidence-based guidance to support better care for our youngest patients. Join our email list for the latest clinical updates.