A 9-month-old white boy was brought to the emergency department (ED) after he had been crying inconsolably for 2 hours. The parents thought the crying was related to the child's left leg, which they felt "did not look right." Two weeks earlier, the boy had a similar episode of inconsolable crying, and a fracture of the right distal radius was diagnosed. The fracture was presumptively caused by entrapment of his arm in the crib railings.
A 9-month-old white boy was brought to the emergency department (ED) after he had been crying inconsolably for 2 hours. The parents thought the crying was related to the child's left leg, which they felt "did not look right." Two weeks earlier, the boy had a similar episode of inconsolable crying, and a fracture of the right distal radius was diagnosed. The fracture was presumptively caused by entrapment of his arm in the crib railings.
In the ED, the child kept his left leg abducted and flexed at the knee; the left thigh was tender and edematous. He appeared small for his age and had a large head. He weighed 5.5 kg and was 59cm tall (below the 3rd percentile). The occipitofrontal cortex was 46 cm (50th percentile). Other findings included a prominent forehead, downward-slanting palpebral fissures, anteverted nares, a wide and flat anterior fontanel, and generalized hypotonia without focal neurological deficits.

Click to Enlarge
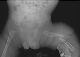
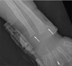
A plain radiograph demonstrated an acute displaced fracture of the left femur (Figure 1). Child Protective Services (CPS) was notified and a skeletal survey was ordered. Images revealed a healing fracture of the right distal radius; an acute linear, nondisplaced fracture of the right parietal skull; and pleural changes associated with fourth and seventh left rib fractures. Also evident were cupping and fraying of the metaphyses of the long bones and demineralized bone density (Figure 2). Results of an ophthalmological examination were normal. An MRI scan of the brain revealed the skull fracture but otherwise showed normal findings.

Click to Enlarge
Laboratory studies revealed low levels of serum calcium, 6.0 mg/dL (normal, 8.5 to 10.3 mg/dL), and serum ionized calcium, 3.53 mg/dL (normal, 4.0 to 5.6 mg/dL), and a markedly elevated serum alkaline phosphatase level, 665 U/L (normal, 60 to 321 U/L). Renal and liver functions were normal, as were the electrolyte levels, including serum bicarbonate, 23 mEq/L (normal, 15 to 28 mEq/L). Further laboratory investigation revealed a low phosphorus level (3.1 mg/dL (normal, 4.4 to 7.0 mg/dL); normal serum magnesium, and elevated parathyroid hormone, 396 ng/L (normal, 7 to 53 ng/L). Assays for vitamin D levels were ordered. Results showed the 25-hydroxyvitamin D level to be less than 7 ng/mL (normal, 20 to 57 ng/mL) and the 1,25 hydroxyvitamin D level to be normal. Fecal fat and sweat chloride test results were normal.
An important point in the history was that the boy's diet consisted of whole cow's milk with very few solids at the time of presentation. He had been exclusively breast-fed until he was 8Z\x months old. He was born in June in Phoenix, where sunlight is abundant, but exposure is often limited because of extreme heat.
Although non-accidental injury was strongly considered in this case of multiple fractures in a non-ambulating child, vitamin D deficiency rickets was the diagnosis based on the history, laboratory, and radiological abnormalities. His primary risk factor was exclusive breast-feeding without supplementation.
RICKETS: AN OVERVIEW
Vitamin D is produced by the skin after exposure to UV light and is obtained from the diet. Vitamin D deficiency can result from the following:
•Limited exposure to UV light (cholecalciferol or vitamin D3).
•Insufficient dietary intake of ergocalciferol or vitamin D2 (naturally found in fish oils and liver and fortified in many dairy and juice products).
•Malabsorptive syndromes (inflammatory bowel disease, celiac disease, cystic fibrosis).
Other forms of rickets include vitamin D-dependent rickets, caused by failure of the kidneys to convert 25-dihydroxyvitamin D to 1,25 dihydroxyvitamin D; vitamin D-resistant rickets, caused by resistance to the action of 1,25 dihydroxyvitamin D; and hypophosphatemic rickets, caused by decreased reabsorption of phosphorus in the renal tubules and inappropriately low levels of 1,25 dihydroxyvitamin D. Rickets can also develop because of chronic renal insufficiency, prematurity, and tumors.1 All forms of rickets disrupt the homeostasis of calcium, phosphorus, and bone mineralization and can lead to the characteristic clinical manifestations.
Since the 1930s, the prevalence of rickets has decreased significantly with the implementation of vitamin D-fortified dairy products. However, there have been waves of resurgence of nutritional rickets. Currently, vitamin D deficiency is the most common cause of rickets.2 The population most affected in North America is infants who are exclusively breast-fed, darkly pigmented, and who receive no vitamin D supplementation. Other contributing factors are limited sun exposure and vitamin D deficiency in breast-feeding mothers. Growing evidence suggests that calcium deficiency is also important in the development of rickets.3
The American Academy of Pediatrics recommends that all infants receive between 200 and 500 IU of vitamin D (through diet or supplementation) during the first 2 months of life.1,4 Supplementation should be continued until the child consumes the recommended amount from diet alone. Whole cow's milk is supplemented with vitamin D. Infants who consume 32 oz of formula daily receive 400 IU of vitamin D.5
Rickets can present as failure to thrive, developmental delay, seizures, tetany, or weakness, or it may be found incidentally during the physical examination or through radiographic or laboratory evaluations.5 Skeletal manifestations associated with rickets are seen first at growth plates of rapidly growing bones (eg, wrists, knees). Patients can have enlarged wrists and ankles and bowing of legs. Other findings may include enlargements of costochondral junctions (rachitic rosary), frontal bossing, craniotabes, scoliosis, and kyphosis.5 Widening of the epiphyseal plates is an early radiographic change. This may progress to cupping, splaying, or stippling of the metaphyses. With severe disease, the shafts of long bones become osteopenic and predispose patients to pathological fractures.
Patients with vitamin D deficiency rickets can be treated with 0.05 to 0.125 mg (2000 to 5000 IU) of ergocalciferol daily for 6 to 12 weeks, followed by maintenance doses of 0.01 mg (400 IU) per day.6 Various vitamin D preparations are available in intramuscular and oral forms, in high and low dosages, and as single or multiple doses.1 Levels of serum calcium, phosphorus, alkaline phosphatase, 25-dihydroxyvitamin D3, and urine calcium and phosphorus should be monitored carefully until they have normalized. Radiographic response to treatment can be seen within 2 to 4 weeks.5 Physical findings normalize within 6 months.1 Treatment failures place the underlying cause of rickets in question.5
DIFFERENTIAL DIAGNOSIS
Several cases of rickets in children who presented with multiple fractures of the extremities and pseudofractures of the skull have been reported.7 The differential diagnosis for multiple fractures is broad and includes osteogenesis imperfecta, osteopetrosis, congenital syphilis, rickets, metabolic storage diseases, malabsorptive diseases, renal insufficiency, renal tubular acidosis, vitamin C deficiency, and trauma (accidental or non-accidental).
Cystinosis was also considered because of the child's dysmorphic features, although it was deemed less likely because of the lack of acidosis. The infantile form of cystinosis presents between 3 and 6 months of age with proximal renal tubular acidosis and wasting of sodium, phosphate, and water. Patients with cystinosis often have growth retardation and rickets secondary to phosphaturia. Because head growth is preserved initially in infants who fail to thrive and frontal bossing and a wide fontanel are characteristic of rickets, this child's dysmorphic features could be attributed to the combination of failure to thrive and rickets.
CASE CONCLUSION
Therapy with vitamin D (ergocalciferol) and a calcium supplement was initiated, and the cow's milk was replaced with infant formula. The child was placed in a hip spica cast and released into his grandparents' custody after 11 days in the hospital.At discharge, his calcium level had normalized. He had gained weight and had achieved new developmental milestones. CPS later completed their investigation of the home environment, and the child was returned to his parents' custody.
Exclusive breast-feeding without supplementation was believed to be the most likely cause of vitamin D deficiency rickets in this patient. Reduced exposure to UV light, a vitamin D-deficient diet in the mother, or an inadequate supply of breast milk may have been contributing factors. Vitamin D deficiency seemed unlikely in this patient because he had fair skin and lived in Phoenix, which has more than 300 sunny days per year. The concern for rickets was raised after laboratory testing revealed low levels of calcium and phosphorus and marked hyperparathyroidism. The diagnosis was confirmed by the results of vitamin D assays.
This case highlights the importance of vitamin D supplementation in all exclusively breast-fed infants, even those with fair skin who live in sunny climates. *
REFERENCES:
1.
Nield LS, Mahajan P, Joshi A, Kamat D. Rickets: not a disease of the past.
Am Fam Physician.
2006; 74:619-626.
2.
Holick MF. Resurrection of vitamin D deficiency and rickets.
J Clin Invest.
2006;116:2062-2072.
3.
Thacher TD, Fischer PR, Strand MA, Pettifor JM. Nutritional rickets around the world: causes and future directions.
Ann Trop Paediatr.
2006;26:1-16.
4.
Gartner LM, Greer FR; Section on Breastfeeding and Committee on Nutrition. American Academy of Pediatrics. Prevention of rickets and vitamin D deficiency: new guidelines for vitamin D intake.
Pediatrics.
2003;111:908-910.
5.
Joiner TA, Foster C, Shope T. The many faces of vitamin D deficiency rickets.
Pediatr Rev.
2000;21: 296-302.
6.
Ozuah PO. Planning the treatment of a patient who has rickets.
Pediatr Rev.
2000;21:286.
7.
Peterson CR. Vitamin D deficiency rickets simulating child abuse.
J Pediatr Orthopedics.
1981;1: 1423-425.
Access practical, evidence-based guidance to support better care for our youngest patients. Join our email list for the latest clinical updates.