A 14-year-old girl had fatigue, a slight sore throat, and low-grade fever for a week. The mother was concerned that she had “mono” like her older sister who had the same symptoms and in whom the illness was diagnosed 2 months earlier.
A 14-year-old girl had fatigue, a slight sore throat, and low-grade fever for a week. The mother was concerned that she had “mono” like her older sister who had the same symptoms and in whom the illness was diagnosed 2 months earlier. The patient was described by her mother as a somewhat “anxious” child. She was not taking any medications. She denied weight loss, night sweats, rash, myalgia, and arthralgia.
The patient was afebrile and appeared well. Significant findings included a mildly erythematous posterior pharynx with no exudates, 0.5-cm anterior cervical lymphadenopathy bilaterally, and a mid to left upper quadrant abdominal mass. The mass, which was slightly firm and relatively smooth, with no distinct edges, was presumed to be splenomegaly. Remaining examination findings were normal.

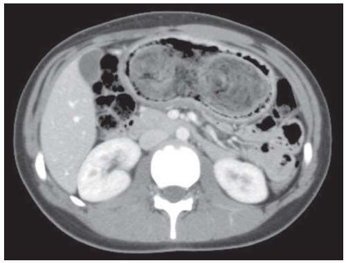
Figure 1 – Axial CT scan shows a large, bilobed, heterogeneous mass within the stomach. The mass has a laminated appearance and is outlined by air bubbles.
Mononucleosis from possible exposure was the presumptive diagnosis; however, results of a rapid heterophile antibody test were negative. Liver function panel, complete blood cell count, erythrocyte sedimentation rate, and serum uric acid levels were all within the normal range. An abdominal ultrasonogram revealed an epigastric mass and normal spleen. Abdominal CT scan findings were indicative of a large gastric bezoar (Figures 1 and 2), which was promptly removed by laparotomy, without complication.

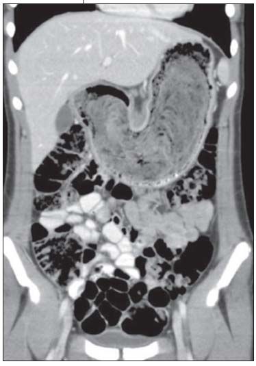
Figure 2 – Coronal CT scan shows the large, heterogeneous, laminated mass filling the gastric lumen from the fundus to the antrum.
On further questioning, the child revealed that when she was 10 years old, she had a habit of pulling out and eating her hair. She stated that “my fifth-grade teacher was mean and made me nervous,” but she denied eating hair for the past 4 years. She also denied any GI complaints, such as vomiting, constipation, bloating, or hematochezia. The mother reported no family history of mental illness.
TRICHOBEZOAR: AN OVERVIEW
Trichotillomania is characterized by the recurrent pulling out of one's hair as a means to relieve tension; it is considered an impulse-control disorder.1,2 The underlying cause is unknown, but it is theorized to involve genetic, environmental, and psychiatric factors.2 This disorder is commonly associated with the eating of pulled hair (trichophagia).3 In general, the eating of nonfood substances, also known as pica, can be associated with cognitive and behavioral disorders, iron or zinc deficiency, child neglect, celiac disease, and pregnancy.4 The formation of a trichobezoar is a possible complication of trichophagia.
Other causes of an abdominal mass. The finding of a mass in this area of the abdomen in an adolescent girl generates a small, and mostly ominous, list of differential diagnoses once chronic or severe constipation is ruled out. These include but are not limited to neuroblastoma, sarcoma, gastric carcinoma,5 lymphoma, and mxyoma.6 In this patient, the normal physical examination findings and laboratory studies, the history of trichophagia, and the characteristic appearance of a trichobezoar on the CT scan essentially ruled out a primary gastric tumor as the cause.
Variable clinical presentation. The patient with trichotillomania and trichophagia may not admit to having any symptoms. A child with trichotillomania may have alopecia, which is a common finding in patients who have been pulling their hair for a long time. If alopecia is present, it appears as scattered bald patches and areas of scant broken hairs.7 Some or all of the patient’s eyelashes may also be missing. This girl had no signs of alopecia.
This patient's presenting symptoms probably represented an acute viral syndrome, and the abdominal mass was an incidental finding that led to the discovery of the trichobezoar. An asymptomatic, mobile, epigastric abdominal mass can signal the presence of a trichobezoar. Abdominal pain, anorexia, vomiting, anemia, pancreatitis, hypoalbuminemia, and jaundice may be present.8,9 Reported complications of trichobezoars include intestinal obstruction and perforation, gastric ulceration, and intussusception.9,10 Compression of the superior mesenteric artery secondary to a trichobezoar has also been reported.11
Treatment and psychiatric referral. Management of trichobezoars consists of prompt surgical removal. Definitive treatment of patients with a trichobezoar involves the recognition and management of any underlying psychiatric disorders with the help of expert consultation. This case emphasizes the importance of obtaining a social and behavioral history in an adolescent. However, clinicians should be aware that even after thorough questioning, patients may not readily admit to trichotillomania and trichophagia. In addition, parents may not realize the relevance of the past hair-eating habit with the current medical condition.
REFERENCES:
1. Task Force on DSM-IV. Diagnostic and Statistical Manual of Mental Disorders. 4th ed. Washington, DC: American Psychiatric Association: 1994.
2. Duke DC, Keeley ML, Geffken GR, Storch EA. Trichotillomania: a current review. Clin Psychol Rev. 2010;30:181-193.
3. Grant JE, Odlaug BL. Clinical characteristics of trichotillomania with trichophagia. Compr Psychiatry. 2008;49:579-584.
4. Nanda S, Nield LS. Boy with extraordinarily high blood lead levels. Consultant for Pediatricians. 2008;7:159-160.
5. Zhuge Y, Cheung MC, Yang R, et al. Pediatric intestinal foregut and small bowel solid tumors: a review of 105 cases. J Surg Res. 2009;156:95-102.
6. Miettinen M, Makhlouf HR, Sobin LH, Lasota J. Plexiform fibromyxoma: a distinctive benign gastric antral neoplasm not to be confused with a myxoid GIST. Am J Surg Pathol. 2009;33:1624-1632.
7. Nield LS, Keri JE, Kamat D. Alopecia in the general pediatric clinic: who to treat, who to refer. Clin Pediatr (Phila). 2006;45:605-612.
8. Monciotti C, Zancan L, Cattelan C, et al. Gastric trichobezoar: a case report (author’s transl) [in Italian]. Pediatr Med Chir. 1981;3:429-430.
9. Barzilai M, Peled N, Soudack M, Siplovich L. Trichobezoars [in Hebrew]. Harefuah. 1998;135:97-101, 167.
10. Wadlington WB, Rose M, Holcomb GW Jr. Complications of trichobezoars: a 30-year experience. South Med J. 1992;85:1020-1022.
11. Doski JJ, Priebe CJ Jr, Smith T, Chumas JC. Duodenal trichobezoar caused by compression of the superior mesenteric artery. J Pediatr Surg. 1995;30:1598-1599.
Access practical, evidence-based guidance to support better care for our youngest patients. Join our email list for the latest clinical updates.