A 16-year-old male with a history of nephrotic syndrome and gastritis presents to the emergency department (ED) with worsening emesis, diarrhea, and abdominal pain of 3-weeks’ duration.
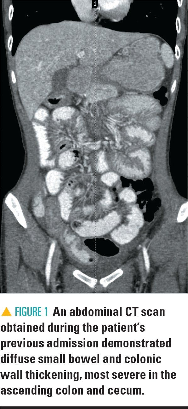
Figure 1

Table 1

Table 2

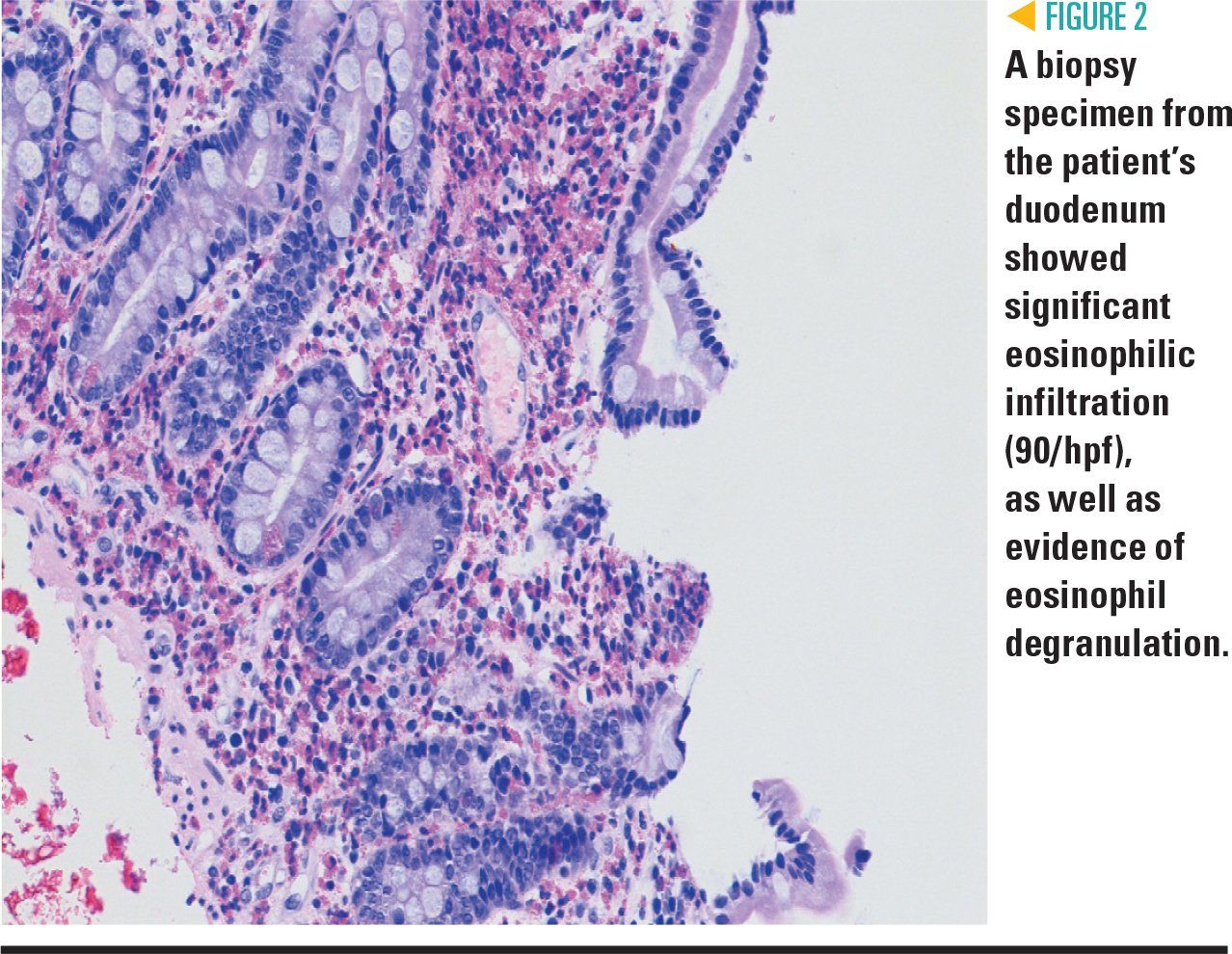
Figure 2

The case
A 16-year-old male with a history of nephrotic syndrome and gastritis presents to the emergency department (ED) with worsening emesis, diarrhea, and abdominal pain of 3-weeks’ duration.
History
In the preceding 2 weeks, the patient had been evaluated on 3 separate occasions in the ED and was even admitted briefly for management of his abdominal pain, nausea, and dehydration. Laboratory studies obtained at these visits included a normal comprehensive metabolic panel and lipase level, as well as a complete blood count with a leukocytosis of 14.21 (reference range [RR], 5.0-13.0), absence of anemia or thrombocytopenia, and a differential with 10.2% eosinophils (RR, 0.0-3.0%).
An abdominal radiograph showed bowel wall edema involving the cecum, and an abdominal ultrasound demonstrated a large amount of free fluid in the abdomen, but a normal appendix. At first, clinicians suspected acute viral gastroenteritis, as laboratory and imaging studies were nonspecific aside from the peripheral eosinophilia.
This is now the patient’s fourth ED visit and his diarrhea is occurring more than 10 times daily, is associated with nocturnal stooling, and is significantly impacting his quality of life. His symptoms are also associated with a 10-pound weight loss over the prior 2 weeks, fatigue, and generalized weakness. However, he denies fever, rash, joint pain, oral ulcers, or blood per rectum. Ancillary history is remarkable for birth in the Philippines. However, he denies any recent travel or other exposures.
Physical exam, lab studies, and imaging
The patient’s physical examination is significant for mild, diffuse abdominal tenderness and absence of rebound or guarding. On further review, his weight has decreased from the 60th percentile to less than the 1st percentile over 2 years. His complete blood count shows a leukocytosis of 18.61 with an eosinophilia of 46% (absolute eosinophil count of 8640). His erythrocyte sedimentation rate and C-reactive protein are normal. Computed tomography (CT) scan of the abdomen is performed and shows diffuse small bowel and colonic wall thickening, most severe in the cecum and ascending colon (Figure 1). He is subsequently admitted to the inpatient pediatric ward for further workup and management.
Differential diagnosis
This is a case of a 16-year-old male with a history of nephrotic syndrome and gastritis who presents with 3 weeks of generalized abdominal pain, diarrhea, and significant weight loss, with marked peripheral eosinophilia and diffuse bowel wall thickening on CT. There is an extensive differential for adolescents with abdominal pain and severe diarrhea (Table 1), however, the most striking feature of this case was his eosinophilia.
Peripheral eosinophilia is defined as an eosinophil count of 450 to 500 eosinophils/µL or greater.1 The possible etiology of peripheral eosinophilia is broad (Table 2) and major categories include infectious, allergic/immunologic, hematologic/oncologic, gastrointestinal (GI), and other syndromes such as allergic bronchopulmonary aspergillosis (ABPA) and sarcoidosis.1
Infectious causes
Parasitic infections, in particular, are associated with this level of eosinophilia. The index of suspicion was high for a parasitic infection given the patient’s eosinophilia and travel to the Philippines. Strongyloides stercoralis infection was the primary concern because of this parasite’s ability to replicate in the host for years undetected, inducing varying degrees of eosinophilia. In addition, if a patient with subclinical strongyloidiasis is given systemic steroids, there is a potential to develop hyperinfection syndrome, a life-threatening condition associated with accelerated lifecycle of the parasite and high larvae burden.2,3
However, the patient’s serology was negative for Strongyloides stercoralis. In addition, stool studies were negative for Clostridium difficile, a bacterial molecular panel, rotavirus, norovirus, adenovirus, a parasite molecular panel, and stains for ova and parasites. Serum studies for common viruses as well as human immunodeficiency virus (HIV), Coccidioides, Taenia solium, Toxocara, cysticercosis, and a tuberculin skin test were also negative.
Allergic causes
Medications are a leading cause of peripheral eosinophilia, and associated symptoms can range from subclinical to profound, as in the case in DRESS (drug reaction with eosinophilia and systemic symptoms) syndrome.1 Common culprits include antibiotics, especially penicillin and sulfonamides, anticonvulsants and nonsteroidal anti-inflammatory drugs.1,4
This patient did not have any recent medication exposures. Laboratory testing also was obtained to evaluate for allergic disorders and included a total immunoglobulin (Ig) E level, which was 309 (RR, ≤114), as well as IgE specific to wheat, cod, salmon, shrimp, egg white, peanut, walnut, almond, soy, milk, and sesame, which were undetectable.
Hematologic and oncologic causes
Peripheral eosinophilia can be seen in eosinophilic leukemia, Hodgkin disease, cutaneous T-cell lymphoma, and mastocytosis, as well as acute lymphoblastic leukemia and a variety of solid tumors.1 In addition, hypereosinophilic syndrome (HES) is a myeloproliferative disorder characterized by prolonged serum eosinophilia (≥1500 eosinophils/µL for 6 months) and end-organ dysfunction in the absence of another cause.1,5
An oncologic process was considered in this patient’s case given his marked weight loss and failure to thrive, in concert with his systemic symptoms. A peripheral blood smear was obtained and showed no leukemic cells, and flow cytometry of the patient’s serum also was negative. Additionally, given the likelihood that the patient would ultimately require treatment with systemic steroids, he underwent a bone marrow biopsy, which was negative.
Gastrointestinal causes
Eosinophils are present in multiple parts of the GI tract, and increased numbers can be seen in common diseases such as inflammatory bowel disease (IBD), celiac disease, and gastroesophageal reflux disease (GERD).6,7 In addition to these conditions, there are eosinophilic gastrointestinal disorders (EGIDs), which are a family of disorders of eosinophilic inflammation of the GI tract that are not attributable to other causes of eosinophilia.1,6
This patient’s presentation was most consistent with a GI disease. Fecal calprotectin and IBD serology were unremarkable, as was an autoimmune hepatitis panel. An esophagogastroduodenoscopy (EGD) and colonoscopy were performed to obtain tissue samples for diagnosis. On endoscopy, normal-appearing mucosa was noted with the exception of erythema in the stomach and terminal ileum. However, biopsy specimens showed significant tissue eosinophilia in the upper and lower GI tract: esophagus (20/hpf), stomach (20/hpf), duodenum (90/hpf), terminal ileum (50/hpf), transverse colon and rectum (30/hpf), with eosinophil degranulation in the lamina propria, crypts, and muscularis mucosa, consistent with a diagnosis of EGID (Figure 2). He also underwent a small bowel capsule endoscopy, which showed scattered small bowel ulcerations and mucosal erythema.
Discussion
Eosinophilic gastrointestinal disorders are a group of rare disorders that cause selective GI eosinophil-induced inflammation, and include eosinophilic esophagitis (EoE), eosinophilic gastroenteritis, and eosinophilic colitis.6 Much about the pathophysiology and prognosis of EGID is still unknown, but it is thought to involve both genetic predisposition and environmental factors.6 There are no pathognomonic symptoms or tests for EGID, and patients have peripheral eosinophilia in only half of cases.6,8 Apart from food impaction in EoE, symptoms are nonspecific, and include irritability, weight loss, abdominal pain, vomiting, diarrhea, malabsorption, dysmotility, and ascites.6,9
Diagnosis requires tissue biopsies demonstrating an abnormal number or location of eosinophils. However, GI eosinophilia is not specific to EGID and can be seen in a variety of other disorders.6,10 Eosinophils also can be a normal part of the lamina propria of GI mucosa, which further complicates diagnosis. However, they should not be present in the esophagus, Peyer’s patches, or intraepithelial tissues, and free extracellular granule components should not be seen under normal conditions.6,9-11 Given the difficulty in diagnosing EGID, patients with this disorder are symptomatic for a mean of 4 years prior to diagnosis, as was seen in this patient who had begun to cross percentile lines on the growth curve more than 2 years prior to his admission.6
Treatment for EGID involves nutritional and medical therapies, such as elimination diets that restrict most likely or known food allergens and elemental diets that consist of an amino-acid formula.8,9,11 Topical enteral steroids are the primary medical therapy and systemic steroids are used for severe or refractory cases, such as this one.8,9,11
Patient outcome
During this patient’s workup, he required peripheral parenteral nutrition (PPN) for severe protein-calorie malnutrition and food intolerance. Once the diagnosis of EGID was made, he was started on a strict elemental diet with resolution of his abdominal pain over a period of days. However, he continued to have profuse diarrhea. He was started on enteric-coated budesonide (topical enteral steroids) and systemic steroids, leading to resolution of his diarrhea and dramatic improvement in his peripheral eosinophilia.
The patient was discharged home on exclusive elemental nutrition therapy and topical enteral steroids. Three months after discharge, while on a strict elemental diet and enteric-coated budesonide therapy, the patient underwent a repeat upper endoscopy and colonoscopy that demonstrated marked histologic improvement with normal gastric, duodenal, and colonic mucosa, with the exception of focal distal eosinophilic esophageal involvement (30/hpf).
Unfortunately, 4 months after discharge, he was readmitted briefly for recurrence of symptoms in the setting of dietary noncompliance. After this recurrence, he was further treated with systemic and topical enteral steroids. He subsequently did well on an elemental diet and was able to reintroduce low-allergen foods.
Summary
The association between nephrotic syndrome and EGID is also not well described, and to the authors’ knowledge this is the sixth reported case of coexistent nephrotic syndrome and eosinophilic gastroenteritis.12-16 Interestingly, this patient’s recurrent steroid use for nephrotic flares may have masked an earlier presentation of his EGID, as this was the longest time period he had gone without a nephrotic flare, and thus without steroids, since his early childhood.
Given the diagnostic difficulties surrounding EGID, it is important to have a high index of suspicion for this diagnosis in patients presenting with eosinophilia and primary GI symptoms. Moreover, this case highlights the effectiveness of elemental diets in both confirming diagnosis and symptom control, and demonstrates the challenges that patients, and particularly adolescents, might face in adherence to nutritional therapy.
1. Nutman TB. Evaluation and differential diagnosis of marked, persistent eosinophilia. Immunol Allergy Clin North Am. 2007;27(3):529-549.
2. Centers for Disease Control and Prevention. Parasites-Strongyloides. Resources for Health Professionals. Available at: https://www.cdc.gov/parasites/strongyloides/health_professionals/index.html, Updated August 19, 2016. Accessed August 30, 2018.
3. Roufosse F, Weller PF. Practical approach to the patient with hypereosinophilia. J Allergy Clin Immunol. 2010;126(1):39-44.
4. Kuruvilla M, Khan DA. Eosinophilic drug allergy. Clin Rev Allerg Immunol. 2016;50(2):228-239.
5. Gotlib J. World Health Organization-defined eosinophilic disorders: 2017 update on diagnosis, risk stratification and management. Am J Hematol. 2017;92(11):1243-1259.
6. Rothenberg ME. Eosinophilic gastrointestinal disorders (EGID). J Allergy Clin Immunol. 2004;113(1):11-28.
7. Mehta P, Furuta GT. Eosinophils in gastrointestinal disorders. Immunol Allergy Clin North Am. 2015;35(3):413-437.
8. Liacouras CA, Furuta GT, Hirano I, et al. Eosinophilic esophagitis: updated consensus recommendations for children and adults. J Allergy Clin Immunol. 2011;128(1):3-20.
9. Ridolo E, Melli V, De’ Angelis G, Martignago I. Eosinophilic disorders of the gastro-intestinal tract: an update. Clin Mol Allergy. 2016;14:17.
10. Abou Rached A, El Hajj W. Eosinophilic gastroenteritis: approach to diagnosis and management. World J Gastrointest Pharmacol Ther. 2016;7(4):513-523.
11. Dellon ES, Gonsalves N, Hirano I, et al; American College of Gastroenterology. ACG clinical guideline: evidence-based approach to the diagnosis and management of esophageal eosinophilia and eosinophilic esophagitis (EoE). Am J Gastroenterol. 2013;108(5):679-692.
12. Choi DM, Pyun JE, Yim HE, et al. Eosinophilic gastroenteritis in an 18-year-old male with prolonged nephrotic syndrome. Korean J Pediatr. 2016;59(suppl 1):S72-S75.
13. Nagayama Y, Morita H, Kawashima E, Yoshimura A. Light microscopic features of membranous nephropathy with unusual changes of the podocytes and glomerular basement membrane in a patient with sudden onset of nephrotic syndrome. Am J Kidney Dis. 2010;55(5):962-966.
14. Kirpalani A, Reider MJ, Bax KC, Filler G. Idiosyncratic drug reactions and membranous glomerulopathy. BMJ Case Rep. January 30, 2017. Epub online.
15. Panchangam V, Manjunath SM. Rare association of IgA nephropathy with nephrotic syndrome in a patient with eosinophilic gastritis. Saudi J Kidney Dis Transpl. 2014;25(4):890-892.
16. McCrory WW, Becker CG, Cunningham-Rundles C, Klein RF, Mouradian J, Reisman L. Immune complex glomerulopathy in a child with food hypersensitivity. Kidney Int. 1986;30(4):592-598.
Access practical, evidence-based guidance to support better care for our youngest patients. Join our email list for the latest clinical updates.