A 16-year-old girl has had a left breast lump for 6 months that recently became tender. Except for several small nodules in both breasts and tenderness of the lateral left breast, physical findings are normal and the patient is otherwise healthy.

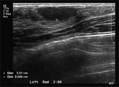
THE CASE: A 16-year-old girl has had a left breast lump for 6 months that recently became tender. Except for several small nodules in both breasts and tenderness of the lateral left breast, physical findings are normal and the patient is otherwise healthy. The mother is highly concerned that her daughter has breast cancer because her maternal grandmother died of the disease. A sonogram of the left breast is shown.
Fibroadenoma is the correct answer.

The ultrasonographic finding of a well-defined, hypoechoic, homogeneous, oval mass measuring about 20 to 30 mm in diameter (in this case, 16 × 20 × 7 mm) is consistent with a fibroadenoma.1 This benign neoplasm is the most common cause of an adolescent breast mass. In various studies, fibroadenomas account for about 60% to 90% of breast tumors diagnosed either surgically or sonographically in adolescents.2-5
Typically, a fibroadenoma is not painful; however, some patients have tenderness. Although fibroadenomas frequently present as a solitary lesion that remains stable or shrinks over time,6 they can be multiple and bilateral. Half of fibroadenomas resolve within 5 years; the resolution rate is much higher in women 20 years and younger.7
Evaluation of an adolescent breast mass usually consists of watchful waiting. Reexamination after 1 or 2 menstrual cycles is recommended, because many benign lesions will begin to resolve during that time. When certain factors, such as worrisome systemic symptoms or heightened parental or patient concern, warrant definitive diagnosis, breast ultrasonography, fine-needle aspiration, core biopsy, or excisional biopsy can be used.8 Sonomammography, in particular, has been shown to be effective in the evaluation of breast masses in young patients.9,10
Although an adolescent breast lump can signal cancer (predominantly secondary or metastatic lesions),11 this diagnosis is unlikely in patients who lack atypical ultrasonographic findings associated with malignancy,12 systemic symptoms, and axillary lymphadenopathy. A breast abscess or mastitis would present with signs of infection, such as breast warmth, erythema, edema, discharge, fever, chills, malaise, and axillary lymphadenopathy-all of which were absent in this patient.
Case and image courtesy of Melinda N. Cooper, MD, and Linda S. Nield, MD, of West Virginia University School of Medicine in Morgantown.
REFERENCES:
1.
Fornage BD, Lorigan JG, Andry E. Fibroadenoma of the breast: sonographic appearance.
Radiology
. 1989;172:671-675.
2.
Foxcroft LM, Evans EB, Hirst C, Hicks BJ. Presentation and diagnosis of adolescent breast disease.
Breast
. 2001;10:399-404.
3.
Ozumba BC, Nzegwu MA, Anyikam A, et al. Breast disease in children and adolescents in eastern Nigeria-a five-year study.
J Pediatr Adolesc Gynecol
. 2009;22:169-172.
4.
Vargas HI, Vargas MP, Eldrageely K, et al. Outcomes of surgical and sonographic assessment of breast masses in women younger than 30.
Am Surg
. 2005;71:716-719.
5.
Ibitoye BO, Adetiloye VA, Aremu AA. The appearances of benign breast diseases on ultrasound.
Niger J Med
. 2006;15:421-426.
6.
Carty NJ, Carter C, Rubin C, et al. Management of fibroadenoma of the breast.
Ann R Coll Surg Engl
. 1995;77:127-130.
7.
Cant PJ, Madden MV, Coleman MG, Dent DM. Non-operative management of breast masses diagnosed as fibroadenoma.
Br J Surg
. 1995;82:792-794.
8.
Pacinda SJ, Ramzy I. Fine-needle aspiration of breast masses. A review of its role in diagnosis and management in adolescent patients.
J Adolesc Health
. 1998;23:3-6.
9.
Malik G, Waqar F, Buledi GQ. Sonomammography for evaluation of solid breast masses in young patients.
J Ayub Med Coll Abbottabad
. 2006;18:34-37.
10.
Pande AR, Lohani B, Sayami P, Pradhan S. Predictive value of ultrasonography in the diagnosis of palpable breast lump.
Kathmandu Univ Med J
. 2003;1:78-84.
11.
Pettinato G, Manivel JC, Kelly DR, et al. Lesions of the breast in children exclusive of typical fibroadenoma and gynecomastia. A clinicopathologic study of 113 cases.
Pathol Annu
. 1989;24(pt 2):296-328.
12.
Chateil JF, Arboucalot F, Pérel Y, et al. Breast metastases in adolescent girls: US findings.
Pediatr Radiol
. 1998;28:832-835.
Access practical, evidence-based guidance to support better care for our youngest patients. Join our email list for the latest clinical updates.